Author(s): Wohlgemuth, Walter A. | Wohlgemuth, Walter A.
Author(s): Wohlgemuth, Walter A. | Wohlgemuth, Walter A.
The patient suffers from a constant, blood-tinged lymph outflow in the left axilla. Approximately 500 ml of fluid (lymph with blood) leaks per day from the small cutaneous lymphatic vesicles, some of which are also exophytic (“lymphangioma circumscriptum”).
Fluoroscopy during electrosclerotherapy after injection of 0.75 mg bleomycin admixed with 2.5 ml contrast medium into the lymphatic malformation. Application of electric pulses with the finger electrode.
Photograph of clinical control 3.5 months after bleomycin electrosclerotherapy (BEST). The lesion has become much smaller. There is no longer any fluid secretion, the axilla is dry.
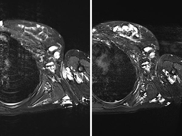
MRI (T2-weighted with fat suppression; axial plane) before (left) and after (right) bleomycin electrosclerotherapy. Only the locally treated parts of the lymphatic malformation (LM) have shrunk considerably, the remaining untreated parts are unchanged.MRI (T2-weighted with fat suppression; axial plane) before (left) and after (right) bleomycin electrosclerotherapy. Only the locally treated parts of the lymphatic malformation (LM) have shrunk considerably, the remaining untreated parts are unchanged.
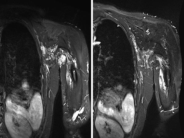
The same MRI (T2-weighted with fat suppression; now coronal plane) before (left) and after (right) bleomycin electrosclerotherapy. Again, it can be seen that the treated parts of the lymphatic malformation are occluded, but the remaining untreated parts are unchanged.
Bleomycin electrosclerotherapy (BEST) is a completely new procedure that has yet to prove its value in clinical trials. This applies both to efficacy and safety and to the optimal protocol of bleomycin dose and electric pulses. However, initial clinical experience has been positive, so that the procedure has already been applied at specialized centers in individual cases. This is particularly helpful in refractory cases that could not be sustainably improved with conventional sclerotherapy.
Especially the treatment of chronic lymphorrhea with small lymphatic vesicles on the skin, sometimes mixed with blood and lymphatic fluid, represents a great challenge for patients and physicians. In this situation bleomycin electrosclerotherapy seems to be an important additional method that can achieve success even in particularly severe cases.
Published: 2020
All images © Wohlgemuth