Author(s): Kertai, Michael Amir
Author(s): Kertai, Michael Amir
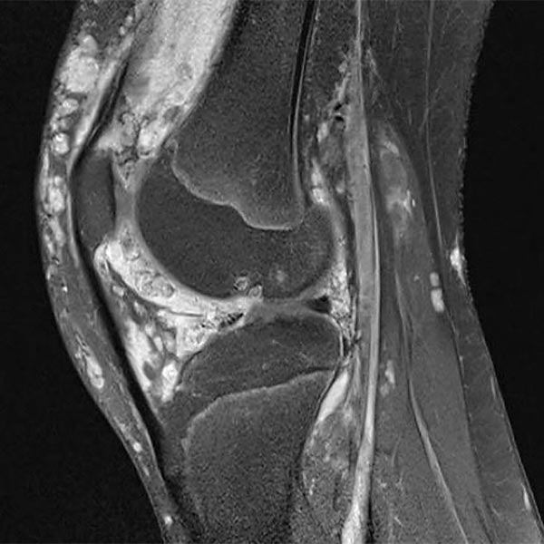
13-year-old girl with recurrent hemorrhages into the right knee joint due to an intra-articular venous malformation. As a result of the additional peri- and intra-articular thrombophlebitis and the cartilage damage that had occurred in the meantime, there was recurrent severe pain. First interventional treatment with sclerotherapy of the malformation and closure of the connections to the knee joint. Subsequently, removal of the synovium with surgical cartilage replacement planned.
Here, sagittal view of an MRI (T2-weighted with fat saturation) of the right knee. The venous malformation is clearly hyperintense (white in the image) and extends intra-articularly into the joint space. In addition, extensive cartilage damage.
Intraoperative image after opening of the knee joint. The synovium is severely hyperplastic due to the recurrent inflammatory processes of the thrombophlebitis and interspersed with venous malformation. Owing to contained blood in the venous malformation, it appears darkly discolored. Part of the cartilage defect is also visible.
Intraoperative image after removal of the synovium and the intra-articular venous malformation. Remnants of the venous malformation are still present above the anterior cruciate ligament. Extensive cartilage damage at the lateral femoral condyle.
The venous malformation was then completely removed, and the anterior cruciate ligament is now fully visible and exposed. The cartilage damage was covered and treated by a so-called extracellular matrix.
Angiodysplastic arthropathy is not uncommon, particularly at the knee joint, in patients with extensive venous malformations of the leg, especially when the knee joint itself is directly involved. The development of extensive cartilage damage is preventable by early appropriate therapy with synovectomy before irreversible cartilage damage results. This is best achieved by early removal of the venous malformation and synovium after the first hemorrhage into the joint. Prior sclerotherapies around the knee joint can greatly facilitate open synovectomy.
Although cartilage replacement was performed in this case, the overall prognosis is dubious because the cartilage damage was already advanced. It is possible that the girl will need an artificial knee joint during the course of her life.
Published: 2018
All images © Kertai