Author(s): Meyer, Lutz
Author(s): Meyer, Lutz
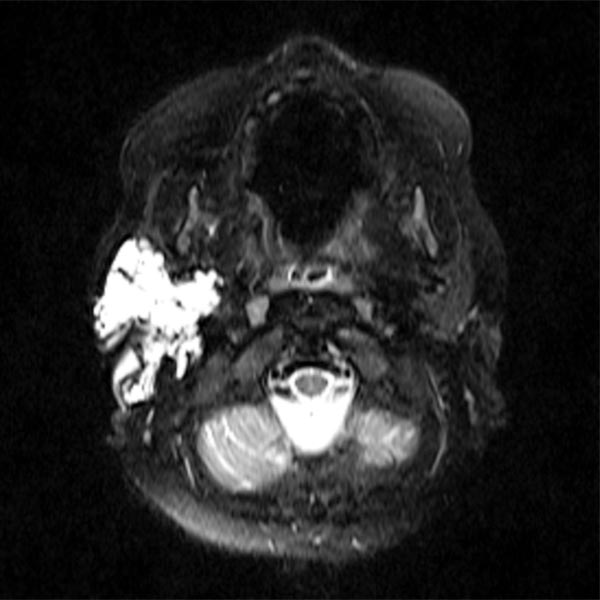
Mixed macrocystic and microcystic lymphatic malformation in the area of the parotid lobe on the right around the ear imaged in a T2-weighted, fat-saturated transverse MRI plane.
Surgery at the age of 13 months with neuromonitoring of the facial nerve. The long line shows the intended skin incisions, the short lines depict the main facial nerve branches. The lesion around the right ear is marked with dots.
Intraoperative image. The lymphatic malformation is largely removed, the individual facial nerve branches are dissected and marked with rubber bands.
Postoperative picture 3 months after surgery. There is no swelling left
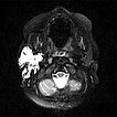
Transverse, T2-weighted, fat-saturated MRI 13 months after surgery. Only a few remnants of the lymphatic malformation are still visible.
In selected cases, primary surgical resection of a lymphatic malformation (LM) of the face and neck is possible. In this case, only a few remnants of the lymphatic malformation remained, so further treatment is probably not necessary. Sclerotherapy would be required in the event of new swellings.
Published: 2018
All images © Meyer