Sturge-Weber syndrome

Definition

Sturge-Weber syndrome is characterized by mostly unilateral capillary malformations of the face and (and/or) capillary venous malformations of the brain and eye on the same side; sometimes associated with ipsilateral facial overgrowth.

Genetic basis

Sturge-Weber syndrome occurs sporadically (not familial). It is based on a genetic mosaic. The cause has been shown to be a somatic (present only in affected tissue) autosomal dominant gain-of-function mutation (c.548G>A, p.Arg183Gln) in the GNAQ gene, which encodes a guanine nucleotide-binding protein (G protein). G proteins ensure signal transduction pathways within the cell. Mutation has an activating effect on MAPK signal transduction of the HIPPO-YAP pathway.

Clinical presentation

Capillary malformations (CM) of the nevus flammeus type appear as two-dimensional, sharply demarcated skin discolorations of light red to dark purple coloration predominantly in the area of one half of the face. They are often strictly midline bordered, with the extent corresponding to embryonic vascular structures rather than the supply area of the trigeminal nerve.

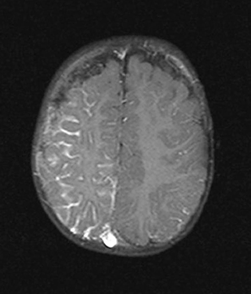
Combined capillary-venous malformations (CVM) may involve the meninges (leptomeningeal angiomatosis) and/or the choroid (choroidal angiomatosis) and lead to neurological and/or ophthalmic disorders. The occurrence of neurological symptoms (migraine, epilepsy, mental developmental disorder, less frequently: spastic hemiparesis) is quite variable. Choroidal angiomatosis may be associated with glaucoma and buphthalmos.

Regional overgrowth may be present ipsilateral to the capillary malformation and variably appear as cutaneous thickening, soft tissue proliferation (especially affecting the upper lip), or enlargement of bony structures (most commonly maxilla). Ipsilateral extremities are more often involved.

Therapy

  • Laser therapy of facial capillary malformation, if necessary.
  • Glaucoma treatment, conservative or surgical.
  • In epilepsy, anticonvulsive therapy.
  • In the case of seizures refractory to therapy, epilepsy surgical treatment should be considered.
  • A beneficial effect of low-dose aspirin intake (3-5 mg/kg/d) on epilepsy and brain development in patients with SWS has been reported. However, routine intake is controversial.
  • Individual therapy trials with sirolimus have been published.

Complications

  • A “vicious circle” of seizures and ischemic states makes seizure control a crucial means of counteracting increasing brain damage.
  • Secondary damage with loss of visual acuity is possible in the case of ocular involvement.