Syndromes with lymphatic malformation

Cystic lymphatic malformations (LM) may be the main feature determining the symptomatology of a clinical picture, such as in Gorham-Stout syndrome which is characterized by progressive osteolysis due to lymphatic vessel proliferation. The cause is as yet unknown.

Cystic LM, along with other vascular malformations, may also be a partial manifestation of a number of syndromal diseases: Klippel-Trénaunay syndrome, CLOVES syndrome, Cowden syndrome (syn. PTEN hamartoma syndrome), Proteus syndrome (see also “Vascular malformations associated with other anomalies”).

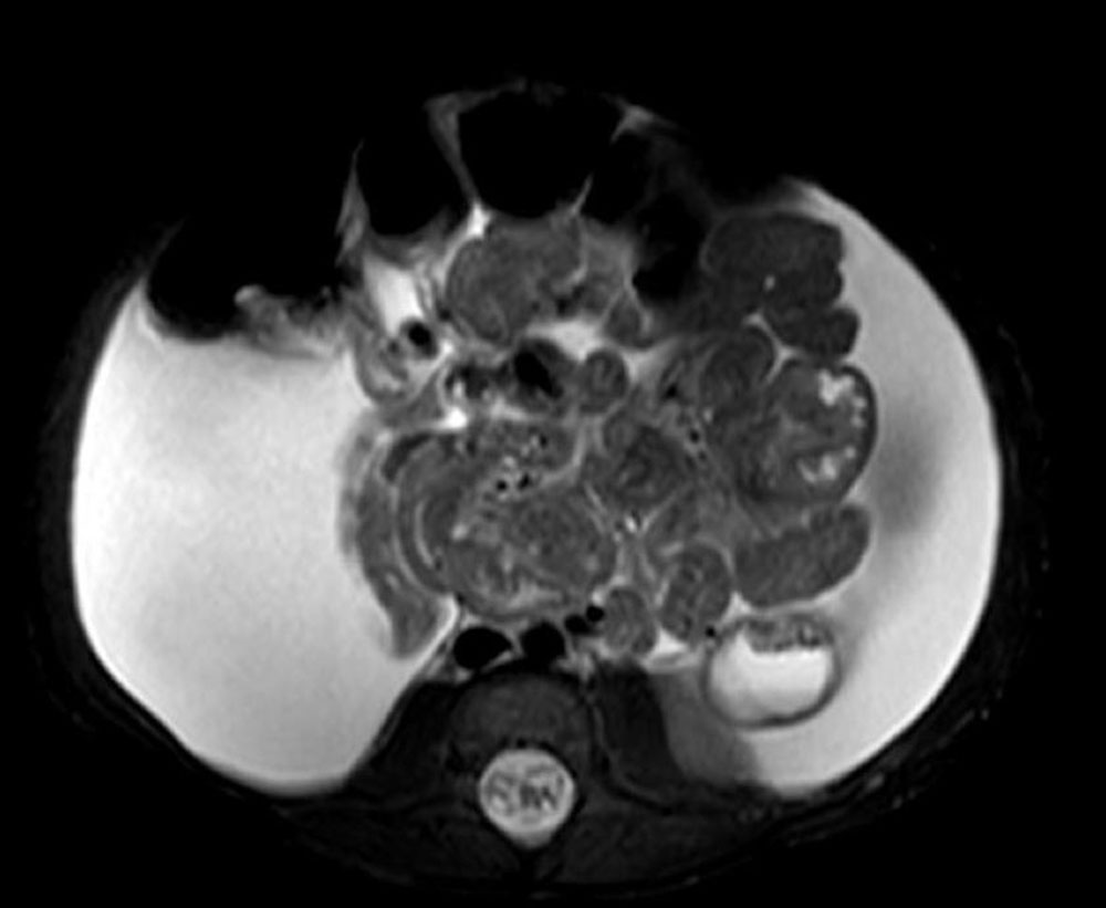
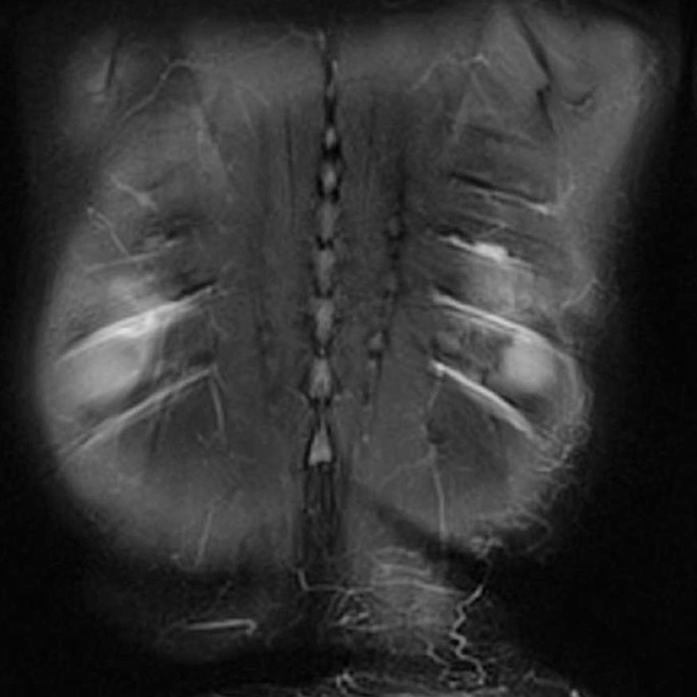
One lymphatic malformation in children that involves the abdomen is Central Conducting Lymphatic Anomaly (CCLA). This is defined as inadequate central drainage of the major trunk lymphatics due to dysmotility, stenosis, or aplasia of the main central abdominal and/or thoracic lymphatic ducts. Insufficient drainage due to congenital malformations of the thoracic duct or cisterna chyli results in lymphostasis with consecutive peripheral lymphatic hypertension and reflux in various organ systems, depending on the location of the drainage obstruction. In this context, thoracic lymphatic hypertension can lead to pulmonary lymphatic hypertension with recurrent chylous pleural effusions or lymphatic congestion of the lungs with plastic bronchitis. Abdominal outflow obstruction (e.g., dysplasia or aplasia of the cisterna chyli) can result in protein-losing enteropathy, chylous ascites, abdominal lymphatic cysts, and/or reflux and retention of lymphatic fluid into one or both extremities (lymphedema of the leg) or the genital region. The pent-up lymphatic pressure can in turn lead to leakage of lymphatic fluid through the skin (lymphorrhea) or cutaneous lymphatic vesicles. Intranodal lymphangiography with ethiodized poppy seed oil injection into a punctured lymph node in the inguinal region can be very helpful in diagnosing this serious condition.

Therapy: MEK inhibitor, interventional radiology.
Cause: somatic ARF mutation (X-linked), which activates the MAPK pathway.

Syndromes with disorders of the lymphatic drainage system (primary lymphedema)

Syndromal forms of lymphedema include autosomal dominant as well as autosomal recessive forms.

Nonne-Milroy-Meige syndrome (hereditary lymphedema type I (Nonne-Milroy) and type II (Meige))

  • Lymphedema of the lower extremities, usually bilateral, may be asymmetric; occasionally confined to one foot or individual toes
  • Swelling initially soft, progressively hard with hyperkeratosis and papillomatosis
  • Upwardly curved nails
  • Inconsistent: large-caliber, prominent leg veins
  • Inconsistent: hydrocele and anomalies of the urethra in males

Cause: heterozygosity for mutation in FLT4 gene (= VEGFR3), clinically indistinguishable from mutations in VEGFC gene or GJC2 gene, autosomal dominant inheritance

 

Lymphedema-distichiasis syndrome

  • Lymphedema of the lower extremities, usually asymmetric; in males, possibly with significant scrotal swelling
  • Frequently venous insufficiency
  • Double rows of eyelashes on upper and lower eyelids in 90-95% (from the openings of the meibomian glands)

Cause: heterozygosity for FOXC2 mutations, autosomal dominant inheritance

 

Leung syndrome (microcephaly-lymphedema-chorioretinopathy syndrome)

  • Congenital microcephaly, decrease of 2 to 6 standard deviations
  • Inconsistent: congenital lymphedema, especially lower extremities (dorsum of foot)
  • Inconsistent: chorioretinal dysplasia with lacunar foci outside the macula, variety of other ocular anomalies
  • Inconsistent: mild to severe mental retardation, spasticity, epilepsy

Cause: heterozygosity for KIF11 mutations, autosomal dominant inheritance

 

Emberger syndrome (primary lymphedema with myelodysplasia)

  • Primary lymphedema (manifestation in childhood) of the lower extremities (unilateral, bilateral), often also of the genitals
  • Hematologic changes: myelodysplasia / acute myeloid leukemia (often with monosomy 7) and beginning as pancytopenia
  • Multiple warts
  • Hearing loss
  • Minor anomalies (hypotelorism, nuchal folds, slender fingers)

Cause: heterozygosity for GATA2 mutations, autosomal dominant inheritance

 

Noonan syndrome

  • Lymphedema prenatally (neck edema, chylothorax, hydrops) and/or postnatally (hand/foot dorsal edema of the newborn, lymphedema of the legs or genital area in adults)
  • Heart defects (60-70%)
  • Short stature/low normal height (-1.5 to -3.5 standard deviations)
  • Craniofacial anomalies
  • Wide thorax with pectus carinatum/excavatum
  • Statomotor and mild intellectual development disorder; IQ 85-90

Cause: heterozygosity for GATA2 mutations, autosomal dominant inheritance

 

Hennekam syndrome

  • Primary lymphedema (face, lower limbs, genitals).
  • Intestinal lymphangiectasia > exudative enteropathy (protein loss) with growth retardation, peripheral edema, and ascites
  • Facial dysmorphia: roundish face with flat profile, hypertelorism, blepharophimosis, wide flat nasal bridge, long flat philtrum, small mouth. Low-set small ears with thick helices
  • Dental anomalies (irregular dentition, oligodontia)
  • Mental retardation (subnormal intelligence to severe mental retardation)

Cause: homozygosity or compound heterozygosity for CCBE1, FAT4, or ADAMTS3 mutations

 

Cholestasis lymphedema syndrome (Aagenaes syndrome)

  • Lymphedema of the legs (also arms, face, trunk), also hydrops fetalis
  • Neonatal intrahepatic cholestasis with recurrent cholangitis

Cause: homozygosity or compound heterozygosity for CCBE1 mutations

 

Choanal atresia and lymphedema syndrome

  • Lymphedema of the legs (at the age of 4-5 years)
  • Choanal atresia, bilateral
  • Minor anomalies: high palate, pectus excavatum, small nipples

Cause: homozygosity for mutations in the PTPN14 gene