Anticoagulation — Indication and implementation

The risk of thrombosis or thromboembolism is particularly increased in the following patients for whom temporary or permanent anticoagulation must be considered:

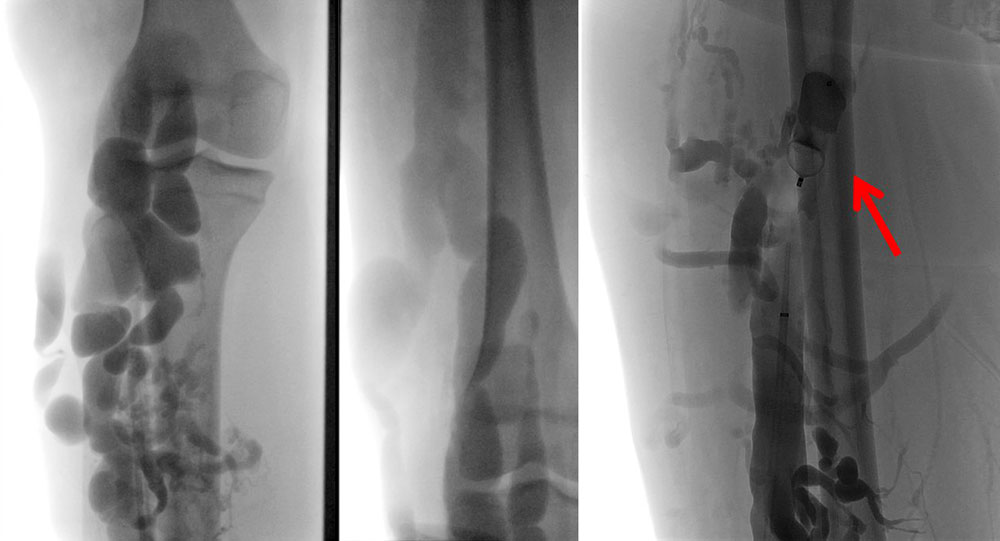
  • Patients with simple, combined or syndromic venous malformations in which a large dysplastic, dilated tubular vein (classic example: the lateral marginal vein in patients with Klippel-Trénaunay syndrome) is connected to the deep venous system. In this case, a thrombus that forms in the venous malformation can easily be flushed into the deep system or further into the pulmonary arteries, resulting in pulmonary embolism.
  • Patients with simple, combined or syndromic spongiform or tubular venous malformations that have relevant communicating veins or drainage connecting veins from the venous malformation into the deep venous system. The clots, which can form continuously in the venous malformation due to stasis (LIC), may be washed away centrally via these communicating veins with a risk of thrombosis or thromboembolism.
  • Patients with an aneurysmally dilated, dysplastic deep venous system (mainly popliteal, iliac and axillary or subclavian veins).
  • A further group of patients with a possible indication for anticoagulation, at least for a few days to weeks, are patients with frequent thrombophlebitis within the venous malformation, which is painful or leads to functional limitations because of its location (e.g. close to joints, bones, nerves).
  • Patients with huge arteriovenous malformations with massively dilated draining veins. Immediately after successful therapy of the arteriovenous malformation with closure of the arteriovenous shunts, these veins are significantly dilated, but the flow is massively reduced. This increases the risk of thrombosis.

The basic principle of the coagulation therapy is to eliminate the cause of the coagulation disorder or of the increased risk of thrombosis, i.e., the venous malformation (with communicating veins):

  • Primarily sclerotherapy or resection of the venous malformation, in which thrombophlebitis repeatedly occurs, which is usually localized.
  • Closure of the connection of the communicating or drainage veins from the tubular (e.g. marginal vein) or spongiform (e.g. large intramuscular) venous malformation to the draining venous system. This can be done either by minimally invasive methods (e.g., using platinum coils, Amplatzer vascular plugs, radiofrequency ablation, alcohol gel) or by open surgery using ligation and, if necessary, resection.

If these invasive measures are carried out successfully, the indication for medical anticoagulation as a long-term therapy may no longer apply; it can then be seen as a bridging method until the final rehabilitation.

The basis of drug anticoagulation therapy of vascular anomalies is mild inhibition of plasmatic coagulation, usually with anti-Xa inhibitors.

Classic therapy is the administration of a low-molecular-weight heparin (LMWH) in prophylactic doses. Heparin is very effective in cases of severe pain and thrombophlebitis within a venous malformation, e.g., 5 to 7 days in a prophylactic dose. In the case of stronger pain with no lasting improvement , heparin therapy can be extended, e.g., to 21 days.

In the following cases of suspected extensive LIC within a large venous malformation, heparin administration must be performed at least 3 days before an invasive procedure:

  • Conspicuous laboratory findings (especially in the case of low or low-normal fibrinogen levels with simultaneously strongly increased D-dimers)
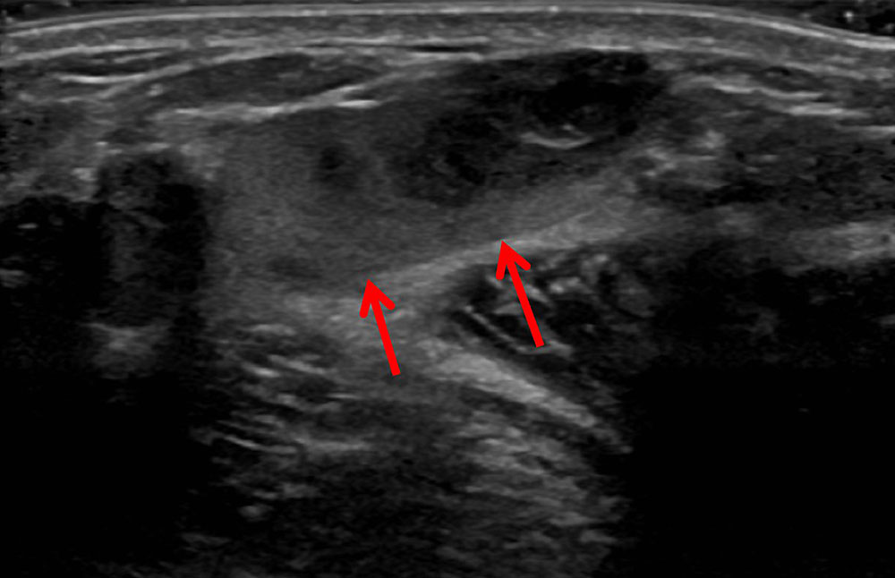
  • Extensive thrombi within the venous malformation in imaging (especially visible in MRI and sonography) and large-volume intramuscular venous malformation

This is to prevent LIC from turning into DIC with consecutive total coagulation failure. Heparin should be continued at least 20 days postoperatively.

The direct oral anticoagulants are pharmacodynamically similar to heparin and clinically very effective in vascular malformations. Larger studies are not yet available and this is an “off-label use” which needs to be explained to the patient.

Case study experience with rivaroxaban and apixaban in prophylactic doses has shown good clinical efficacy in preventing pain and thrombophlebitis as well as thromboembolic episodes.

Long-term anticoagulation, either with vitamin K antagonists or direct oral anticoagulants, may be considered in cases of frequently recurring, severe painful thrombophlebitis or a permanently increased risk of thromboembolic events. However, whether or not the same goal can be achieved by appropriate invasive measures (occlusion of the communicating veins) should be considered.

Therapy with ASA does not appear effective in the treatment of complications of venous malformation for pathophysiological reasons, as platelet aggregation plays a subordinate role here.