Chapter: Cardiac complications
Article: 3 of 9
Update: Mar 10, 2021
Author(s): Sadick, Maliha | Wohlgemuth, Walter A.
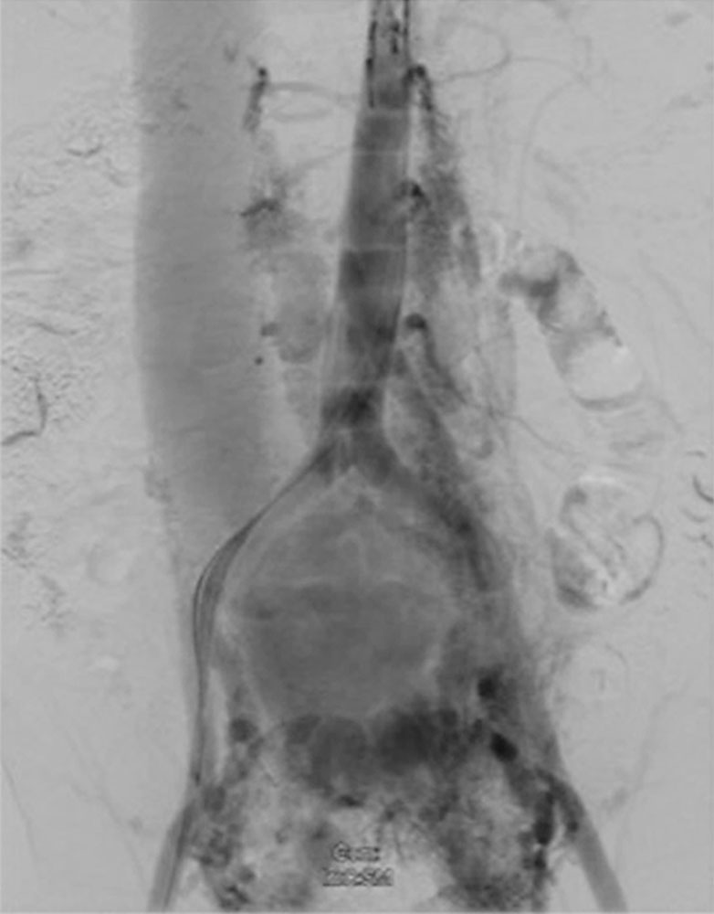
On account of the large shunt with simultaneously lowered peripheral vascular resistance, the heart rate is permanently upregulated in a compensatory manner. This can be easily demonstrated clinically by the Nicoladoni-Branham sign. The heart rate drops immediately after manual occlusion (e.g., compression) of the arteriovenous shunt area and immediately rises again when the pressure is released (reopened shunts).
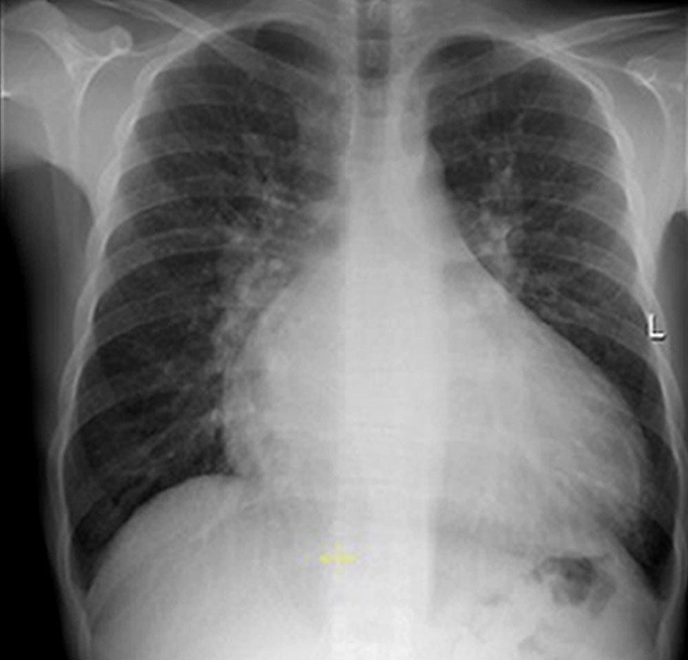
Exercise-induced dyspnea and ventricular arrhythmias may be leading symptoms of a congenital arteriovenous malformation (AVM) and require cardiologic evaluation. Especially in patients with preexisting valvular heart disease and congenital heart defects affected by a malformation associated with other anomalies, arrhythmias can lead to serious cardiopulmonary and cerebral complications. Causal therapy should be initiated. This includes anticoagulation to minimize the risk of cardiac thromboembolic complications.
Tachyarrhythmias may also develop during the lifetime of patients with large-volume arteriovenous malformations because of the slow but steady increase in cardiac output. Therefore, the cardiac rhythm should always be diagnosed and monitored in large arteriovenous malformations. Atrial fibrillation with dilated right ventricle also plays a special role here.