Antibodies for the diagnosis of vascular anomalies

  • Chapter: Histology

    Article: 4 of 6

    Update: Feb 04, 2021

  • Author(s): Evert, Katja

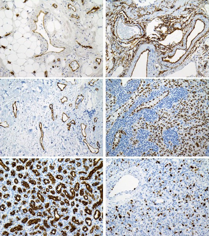
In addition to the standard stains (H&E and EvG), immunohistochemical staining is often necessary for the diagnosis of vascular anomalies.

In this process, surface antigens are bound with the aid of a specific antibody and made visible in visible color. The antibodies listed below can help to differentiate between lymphatic vessels and arteries or veins and have been found to be useful in routine vascular diagnostics. For some of these antibodies there are also applications outside the field of vascular anomalies, but these are not included in the description below.

  • Smooth muscle actin (SMA): component of the cytoskeleton, is detectable in vessel walls.
  • CD31: marker of endothelial cells.
  • CD34: marker of vascular endothelial cells, but can also be weakly positive in lymphatic endothelial cells.
  • D2-40 (podoplanin): lymphatic vessel marker that marks the endothelia of lymphatic vessels, but not the endothelia of other blood vessels.
  • ERG: transcription factor expressed by endothelial cells.
  • Factor VIII: antigen produced by endothelial cells. Endothelial cells thus react positively, but also platelets, mast cells and megakaryocytes.
  • GLUT1: member of the glucose transporter family; only low expression in some normal tissues; infantile hemangiomas react positively, which is an important differential diagnostic feature. Erythrocytes also react positively.
  • Human Herpes Virus 8 (HHV8): member of the herpes group, nuclear positive in Kaposi’s sarcomas.
  • Ki67: nuclear protein suitable for labeling dividing human cells. Gives a good estimate of the proliferation rate of the lesion.
  • WT-1: tumor suppressor gene Wilms tumor 1, is expressed in some vascular tumors and in arteriovenous malformations

In addition to the antibodies listed above, other antibodies are described in the literature that can be used for the diagnosis of vascular anomalies. Examples of these are c-myc, VEGF-R, PROX1, PROX2 and Lyve-1, which are not yet established in clinical routine. For further information please refer to the literature.