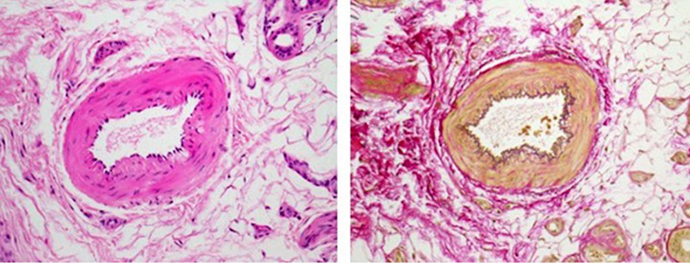
Hematoxylin and eosin (H&E) stain: most important stain in histology; serves to differentiate between cell nuclei and cytoplasm (hematoxylin is the positively charged nuclear dye, basic; eosin is the negatively charged cytoplasmic dye, acidic)
Elastica van Gieson (EvG) staining: triple staining for differentiation of connective tissue and elastic tissue components (cell nuclei black-blue/black-brown, elastic fibers black-violet, collagen fibers red, muscles and cytoplasm yellow).
Subcutaneous infantile hemangioma of the upper arm, re-enlargement (rebound) after discontinuation of propranolol therapy; histopathology and drug therapy