Computed tomography

Technique

Computed tomography (CT) is a radiological cross-sectional imaging modality based on the use of X-rays. A rotating system consisting of an X-ray tube and an accompanying detector enables  measurement of the X-ray density (unit: Hounsfield unit HE) of the tissues in the beam path with high spatial resolution. From the measured raw data set, both classic cross-sectional images (virtual “slices” through the body) and various 3D views can be reconstructed by computer processing. With the help of intravenously administered iodine-containing contrast medium, vascular structures can be imaged selectively in so-called CT angiography (CTA).

Role of computed tomography (CT ) in the diagnosis of vascular anomalies

On account of the lower soft tissue contrast as compared to magnetic resonance imaging (MRI), computed tomography has a smaller role in the work-up of vascular malformations. Vascular structures are mostly isodense to muscle tissue in non-enhanced images. Bony structures can be assessed in 3 dimensions using computed tomography because of the high density differences between bone and soft tissue. Intraosseous vascular malformations as well as any related bone deformities and destruction can therefore be very accurately depicted by computed tomography. The latest generation of modern CT scanners are able to calculate perfusion measurements and vascular perfusion three-dimensionally in high temporal resolution.

Typical findings

Venous malformation: VM is isodense to muscle in non-contrast images and shows patchy enhancement of contrast medium over time (so-called pooling). Contrast medium filling defects within the venous malformation indicate thrombi. Phleboliths are easily recognized as laminated, round calcifications.

Lymphatic malformation: The cysts of lymphatic malformations are mostly hypodense with regard to muscle and occasionally show a rim-like enhancement. Similar to magnetic resonance imaging, proteins and blood degradation products can cause fluid-fluid levels within the cysts. Occasionally dilatations of the accompanying veins can be detected after administration of contrast medium.

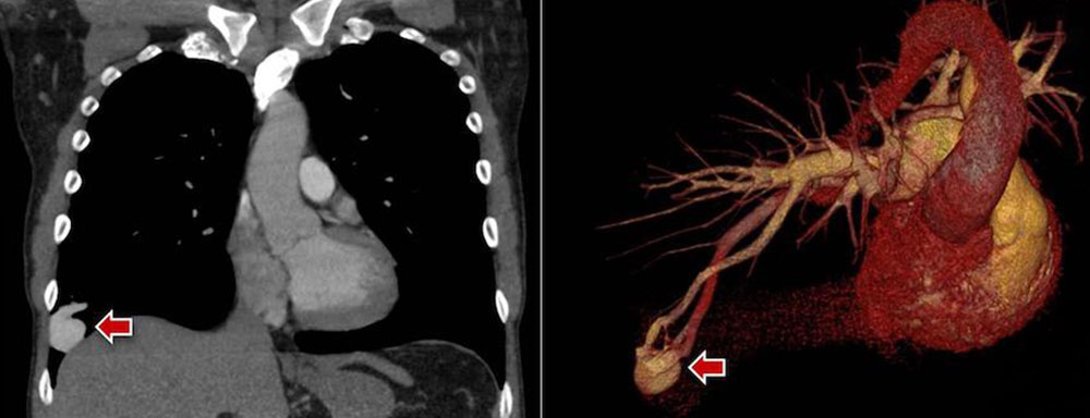
Arteriovenous fistulas: Pulmonary arteriovenous malformations in particular can be accurately imaged in a few seconds using the breath-holding technique after contrast enhancement.

Disadvantages

The biggest disadvantage of computed tomography is the use of ionizing radiation. The indication for CT imaging must therefore be strictly defined, especially for children and during pregnancy. Before a CT is performed, the contraindications for the use of contrast media containing iodine must be considered (renal insufficiency, hyperthyroidism, contrast medium allergy). In addition, numerous modern embolization materials (e.g., coils, plugs) or osteosynthesis material lead to artifacts owing to their high x-ray density. This may limit the informative value of post-interventional computed tomographies.