Sonography

Technique

Sonography is a non-invasive and radiation-free, harmless imaging procedure using ultrasound waves.

The sound waves are generated in the ultrasound transducer by means of the piezoelectric effect and the returning waves reflected differently by different tissues are detected. For the imaging of superficial lesions, linear ultrasound probes with high frequencies are most suitable. The abdomen and deeper structures are usually examined with convex transducers of lower frequency and thus higher penetration depth. The reflections of the ultrasound waves can be converted in real time into a grayscale, two-dimensional image, the so-called B-mode image.

Structures with low echogenicity are imaged dark (e.g., water) and structures with high echogenicity (e.g., thyroid) are imaged bright (white). In addition to the anatomical structures recognizable on B-mode imaging, the blood flow velocity within the vascular system can be precisely measured on the basis of the Doppler effect (pulsed wave / PW Doppler) and displayed in two dimensions (color Doppler, color-coded duplex sonography). A further development is contrast-enhanced ultrasound (CEUS), in which intravenously applied microbubbles enable the perfusion of vessels and tissues to be assessed.

Ultrasound elastography allows for imaging of the hardness / softness of a tissue in color.

Sonographic techniques and their application

ModeDescriptionApplication
B-mode (brightness mode), 2D real timeTwo-dimensional, grayscale imagesCharacterization and extent of the lesion
Guidance of percutaneous therapy
PW DopplerOne-dimensional measurement of blood flow velocityDifferentiation between slow-flow and fast-flow vascular malformations
Color-coded duplex sonography (CCDS)Two-dimensional, color-coded imaging of the blood flow velocityDifferentiation between slow-flow and fast-flow vascular malformations
Contrast-enhanced sonography (CEUS)Imaging of contrast medium using microbubblesDifferentiation between slow-flow and fast-flow vascular malformations as well as tissue perfusion
ElastographyColor-coded imaging of tissue hardness/softnessDifferentiation of therapy-induced effects, differential diagnosis

 

Role of sonography in the diagnosis of vascular anomalies

Sonography is an excellent method for the initial examination when a vascular anomaly is clinically suspected. Especially superficial lesions can be detected very well with two-dimensional B-mode sonography. The clinically important differentiation between slow-flow and fast-flow vascular malformations is thus possible in many cases using color-coded duplex sonography (CCDS) and contrast-enhanced sonography (CEUS). B-mode sonography also serves as image guidance during percutaneous invasive therapies.

Typical findings

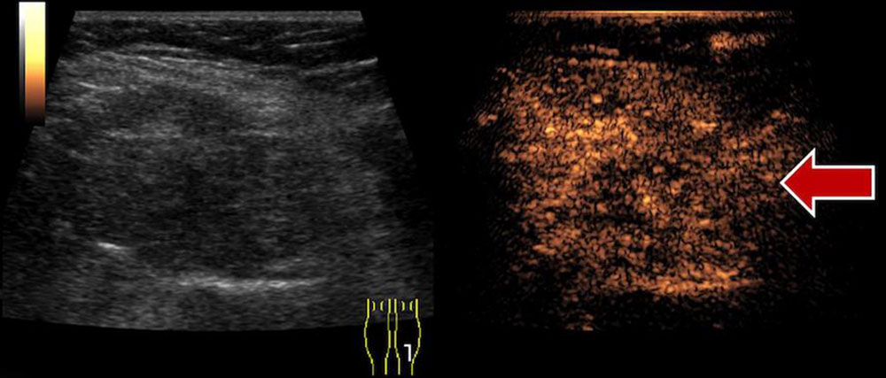
  • Infantile hemangioma: The main feature during the proliferative phase is strong hypervascularization in color-coded duplex sonography. The parenchyma is relatively anechoic. In contrast to a true arteriovenous malformation, a solid mass is usually visible. This hypervascularization decreases significantly during the involutional phase. The echogenicity, on the other hand, increases because of fatty remodeling.
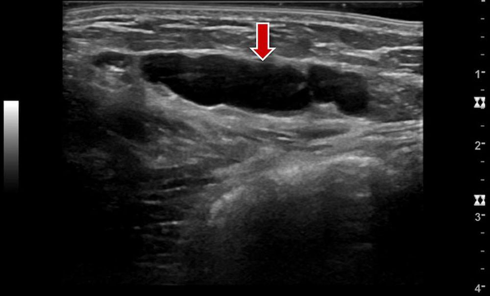
  • Venous malformation: In B-mode images, venous malformations are shown as tubular and sponge-like echo-free spaces. Typically, these spaces are surrounded by echogenic fatty tissue. In the absence of thrombi or phleboliths within the venous malformation, the venous malformation is usually easily compressible with the ultrasound probe. Color-coded duplex sonography (CCDS) does not detect increased flow or shows no blood flow within the venous malformation, unlike in fast-flow malformations. The patency of the deep venous system can additionally be assessed by compression ultrasound before and after invasive therapy.
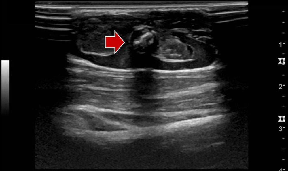
  • Lymphatic malformation: In B-mode ultrasound, macrocystic lymphatic malformations appear as echo-free cysts with a thin wall and possibly septa. Blood vessels in the septa and cyst walls are occasionally identifiable. In contrast to venous malformations, macrocystic lymphatic malformations are not as compressible and rather elastic. Microcystic lymphatic malformations show a very heterogeneous ultrasound pattern. In addition to small echo-free microcysts, hypoechoic and hyperechoic masses can also be detected. The cysts themselves do not enhance contrast medium in CEUS. There is no flow on CCDS.
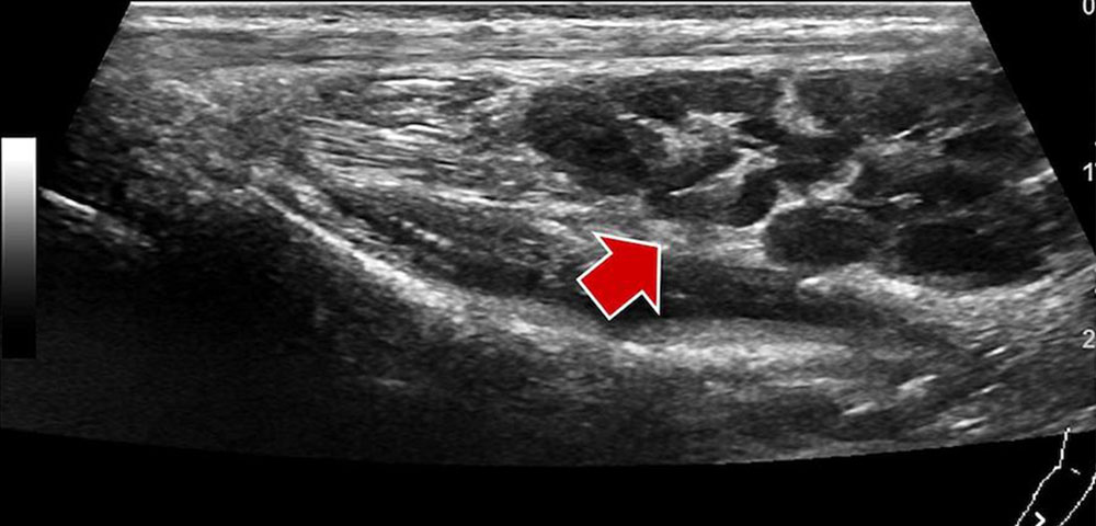
  • Arteriovenous malformation: The main characteristic of peripheral arteriovenous malformation (AVM) is hyperperfusion, which can be easily detected on color-coded duplex sonography. A Doppler examination of the afferent arteries often does not show the usual triphasic resistance pattern in the affected limb, but an increased diastolic forward flow. The venous outflow also shows a significant increase in flow on the affected side. The typical respiratory variability of the venous blood flow is lacking; the high flow rate results in a continuous forward flow in draining veins. Inflowing and outflowing vessels often have a significantly larger diameter compared to the unaffected side. A supplementary examination of cardiac function by echocardiography is recommended for patients with large fast-flow vascular malformations (see special chapter on Cardiac complications).

Disadvantages

A disadvantage of sonography is the relatively small field of view and the often low penetration depth of the ultrasound waves. Therefore, deep lesions cannot be adequately visualized with this modality. Structures that lie behind bone or air cannot be imaged at all. Furthermore, the experience of the examiner also plays an important role in image interpretation.