Phlebography · Varicography

Technique

Phlebography/varicography is a radiological procedure for direct imaging of venous vessels. In this procedure, iodine-containing X-ray contrast medium is directly injected into the venous vascular system via a venous puncture. These procedures are used in most cases to assess the deep and superficial venous system of the upper and lower extremities. For imaging of the deep venous system of the leg a tourniquet is applied above the ankle to redirect the contrast after injection at the dorsum of the foot. Pathological venous vessels and venous malformations can also be punctured directly.

Role of phlebography/varicography in the diagnosis of vascular anomalies

Today, diagnostic phlebography has lost much of its diagnostic significance because of the high informative value of an MRI. However, the direct contrast imaging of venous structures by direct injection is an integral part of sclerotherapy of venous malformations. The vascular malformation is usually punctured directly under ultrasound guidance and visualized with an X-ray contrast medium.

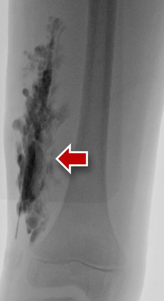
Typical findings

Venous malformations are typically tubular or lobulated, sponge-like dysplastic vascular spaces, which are almost always connected to very small or larger draining veins (communicating veins). Contrast filling defects within the venous malformation correspond to intraluminal thrombi or phleboliths. Direct puncture of the lesion with a needle and subsequent injection of contrast medium aims to identify larger veins of the malformation communicating with the deep venous system immediately prior to sclerotherapy. Any larger communicating veins should be closed. In addition, the contrast injection confirms the needle position and provides an estimate of the size and volume of the punctured part of the venous malformation.

Disadvantages

The use of phlebography/varicography must be strictly indicated in view of the use of X-rays. This is especially true for children and during pregnancy. All possible radiation protection measures must be applied. Technical advances in recent years have led to a significant reduction in the radiation dose (so-called low-dose programs). The contraindications of contrast media containing iodine must be observed (renal insufficiency, hyperthyroidism, contrast medium allergy). The direct puncture of a lesion with a needle involves a certain invasiveness.