Conventional X-ray

Technique

Conventional X-ray imaging provides an overview of a body area using X-rays. This is a summation image only, contrary to cross-sectional imaging.

Role of conventional X-rays in the diagnosis of vascular anomalies

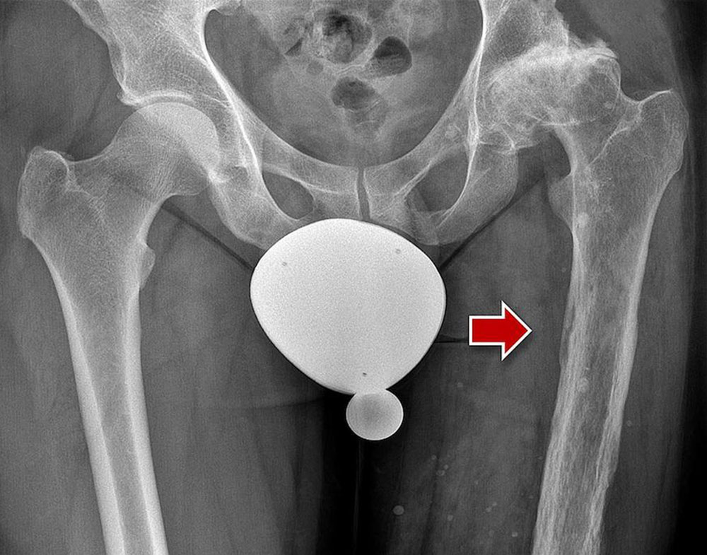
Conventional radiographs provide an overview in the evaluation of affected bones and joints. The measurement of leg length discrepancies can be easily performed using conventional radiographs.

Typical findings

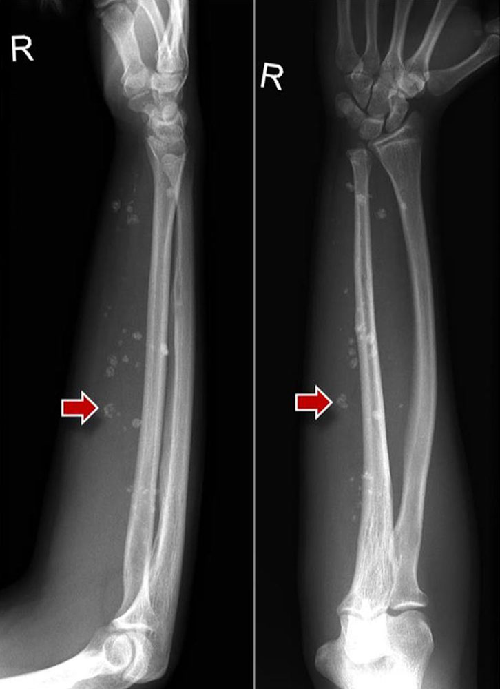
Occasionally phleboliths are visible on conventional images in patients with venous malformation.

Phleboliths are pathognomonic for the presence of a venous malformation outside the pelvis. In patients with arteriovenous malformation, the cortex of an affected bone may be thickened or lytic. Not infrequently, tubular defects are also recognizable in intraosseous AVMs.

Disadvantages

X-rays are used for conventional radiographs. Compared to computed tomography (CT) or digital subtraction angiography (DSA), however, the radiation exposure in conventional radiography is comparatively low. X-rays only provide a 2-dimensional overview with low soft tissue contrast.