Digital subtraction angiography

Technique

Digital subtraction angiography (DSA) is a radiological procedure for direct imaging of blood vessels via injected contrast medium. In this procedure, a series of several X-ray images are taken of the same location before and after iodine-containing contrast medium is injected into the vascular system via a thin catheter. The first image (without contrast medium) is digitally subtracted from each subsequent image with contrast medium. Thus, subtracting images without from images with contrast medium creates new subtracted images in which only the fresh injected contrast medium flowing into the vascular system is displayed. Surrounding structures such as soft tissue and bones are thus rendered seemingly “invisible” (subtracted). Depending on the localization of the vascular malformation, catheter-assisted imaging is performed via an arterial access (e.g., AVM on a limb) or via a venous access (imaging of pulmonary AV fistulas). In the case of arterial accesses, the puncture site is provided with a pressure dressing after DSA and catheter removal.

Role of digital subtraction angiography in the diagnosis of vascular anomalies

On account of its very high spatial and temporal resolution, digital subtraction angiography is still an integral part of evaluation and therapy planning for fast-flow malformations (AVM and AVF). Slow-flow vascular malformations (e.g., venous malformations or lymphatic malformations), on the other hand, do not require invasive assessment using DSA, as the diagnosis can be reliably made using sonography and magnetic resonance imaging (MRI). In slow-flow malformations no further therapy-relevant information can be obtained by invasive DSA.

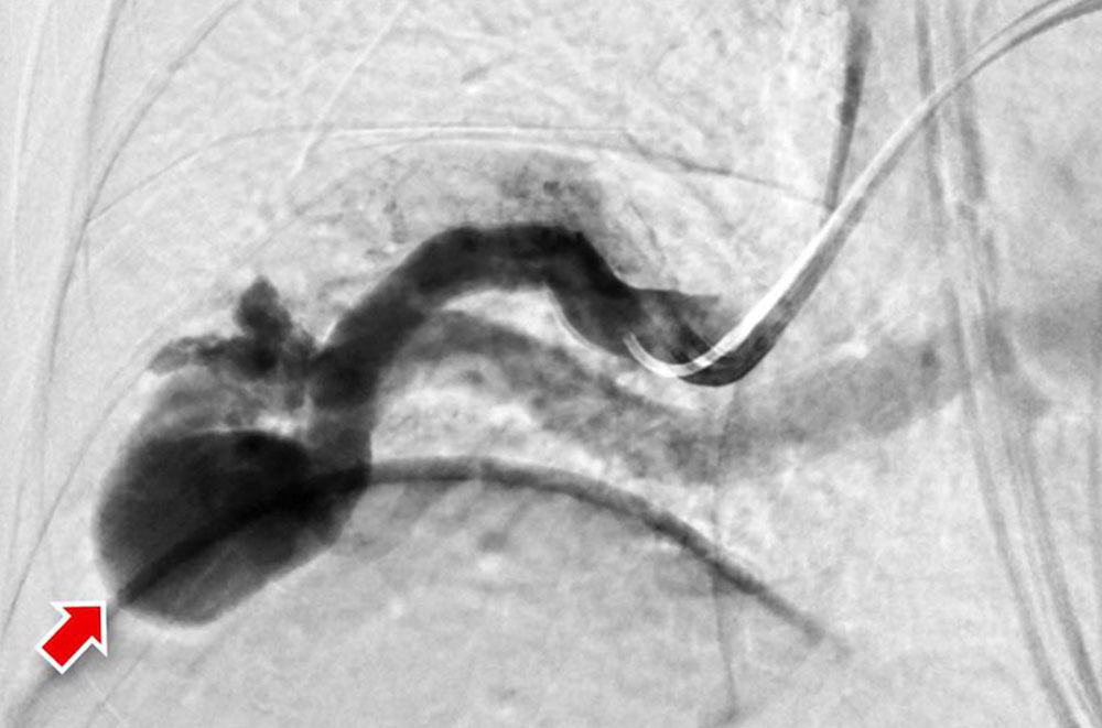
Typical findings

Fast-flow malformation (AVM and AVF): The exact anatomical morphology and the hemodynamics of a fast-flow vascular malformation can be very accurately analyzed with the use of DSA. The most important feature of a fast-flow vascular malformation is the immediate contrast filling of the draining veins via the nidus. Angiographically, fast-flow malformations can be categorized into four subtypes:

  • In type I, there are up to 3 direct arteriovenous connections (AV fistulas) without an identifiable nidus
  • In type II there is a dominant drainage vein, this can be aneurysmal.
  • A fine fistulous, net-like nidus is called type IIIa.
  • In type IIIb the net-like nidus is dilated.

In advanced disease, the incoming and outgoing vessels are also increasingly tortuous and dilated. In some cases, flow-related aneurysms are formed.

Disadvantages

In view of the use of ionizing radiation and the necessary arterial puncture (with the risk of vascular injury or secondary bleeding), the indication for performing a DSA must be strictly defined. This applies in particular to children and during pregnancy. Fortunately, technical advances in recent years have led to a significant reduction in the radiation dose (so-called low-dose programs). The contraindications for the use of contrast media containing iodine (renal insufficiency, hyperthyroidism, contrast medium allergy) apply. In arterial vascular accesses, all parameters of blood coagulation should be within the normal range, if possible. The vascular puncture site is sealed with a pressure dressing, and several hours of bed rest after puncture are the rule as there is a risk of secondary bleeding from the puncture.