Limb length discrepancy

  • Chapter: Orthopedic problems associated with vascular malformations

    Article: 3 of 9

    Update: Feb 24, 2021

  • Author(s): Kertai, Michael Amir

Asymmetric lengths of the extremities regularly occur in association with vascular malformations.

Differences in length of the upper extremity only play a role with regard to certain items of clothing (e.g., jacket). However, different arm lengths have practically no effect on function in everyday or working life, so that there is  hardly ever an indication for invasive therapy.

The situation is quite different with leg length discrepancies. What length difference can be expected to have orthopedic consequences, such as back pain and joint wear (osteoarthritis), has not yet been fully resolved. However, there is broad consensus among orthopedic surgeons that therapy should be carried out for leg length discrepancies of 2 cm or more, as this causes a relevant change in biomechanics.

Limb length discrepancies are either not yet present at birth or are congenital (visible at birth). They develop during growth periods, whereby the difference usually increases in a linear fashion until growth is completed.

Cause

Why limb length differences are associated with vascular malformations is still not conclusively clarified. On the one hand, activation of the growth plates as a result of increased blood flow would be conceivable, while on the other hand, increased growth via growth mediators has been discussed. Nowadays dysregulation of tissue proliferation and maturation as a primary part of the anomaly is believed to cause the aberrant growth pattern of bone, adipose tissue and musculature in the context of a vascular malformation as a syndrome.

The fact that, in a number of cases, an increased blood flow in the area of the growth plates could be detected on MRI, yet no leg length discrepancy was found, argues against the assumption of a purely circulation-related cause. The search for causes is further complicated by the fact that both hyperplasia and hypoplasia may be present in the same vascular malformation patient.

Hyperplasia and hypoplasia , hypertrophy and hypotrophy

Instead of hyperplasia, the term hypertrophy is often used erroneously. The main difference between these two terms is mostly at the cellular level. In hypertrophy, there is an increase in the size of the tissue without an increase in the number of cells,  which means only the size of the cells is increased. In hyperplasia, the cell number also increases. With regard to bone, cell proliferation definitely occurs as part of growth, so hyperplasia should be referred to in this instance. However, in the case of vascular malformations, cell enlargement (e.g., of surrounding muscle and fat cells) may also occur, so that a combination of hyperplasia and hypertrophy may also be present.

Hyperplasia

Hyperplasias of the extremities represent the most common bony involvement in vascular malformations. They occur in approximately 10−30% of all patients with disease involvement of the extremities, depending on the literature.

Hyperplasias lead to accelerated growth of the bone and can in principle affect all bones. There are forms in which the increased growth is distributed evenly over the entire bone, e.g., the thigh, lower leg and foot are proportionally lengthened, but there are also forms in which there is disproportionate, circumscribed overgrowth.

Hyperplasia of the extremity may be present in slow-flow malformations, i.e., venous, capillary and lymphatic malformations, as well as in arteriovenous (fast-flow) malformations.

Hypoplasia

Hypoplasia occurs less frequently with vascular malformation and accounts for a maximum of one third of all cases among all patients with bone involvement. Hypoplasia is found almost exclusively in patients with slow-flow malformations, but almost never in patients with arteriovenous malformations.

In contrast to hyperplasias, which regularly occur disproportionately, especially in the context of syndromes, malformation-related hypoplasias are practically always proportionate.

Hypoplasia in malformation should be distinguished from shortening of the extremities and reduction of the circumference, which occur as a secondary result of inactivity (hypotrophies). This is not uncommon in patients with chronic pain. These patients spare the affected limb on account of pain, which can lead to a reduction in muscle mass (circumferential reduction) and slowing of growth.

Combination of hypoplasia and hyperplasia

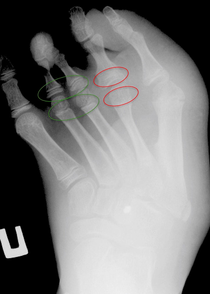
As mentioned, hypotrophy can also occur as a result of inactivity in the case of chronic pain or after surgery. In patients who show accelerated bone growth in association with vascular malformations on the one hand, and inactivity hypotrophy as a result of pain on the other, lengthening of the limb with decreased circumference is often found as a consequence. Wearing compression garments with a high compression class at an early age can also contribute to a reduction of circumference. Especially in CLOVES syndrome, patients may present with a primary combination of circumscribed overgrowth, e.g., of the foot, combined with undergrowth (hypoplasia), e.g., of the upper chest or one or both arms.

Examination

Examination of leg length discrepancies is performed on a standing patient whenever possible and with comparison of the two sides. Measurement of absolute leg length is not important and can be omitted.

The standing patient is viewed from behind while the pelvic position is analyzed. This is best achieved by observing the lumbar dimples and then palpating the two posterior superior iliac spines and the iliac crests.

If a pelvic obliquity is found here, this is compensated by placement of a number of boards of a defined height under the foot of the shorter limb until the pelvis is straight (not tilted anymore).

The total height of the boards placed under the shorter leg corresponds to the difference in leg length.

The problem with this examination is that it is initially not possible to distinguish whether the leg length discrepancy is due to differences in the length of the upper or lower leg, the foot height or a combination of these factors.

This is a particular diagnostic problem in patients with CLOVES syndrome, where there is often a massive increase in plantar fat.

However, the origin of the leg length discrepancy can be further objectified by examination in the prone position. Here, the length of the lower leg and foot can be compared on both sides.

If, for example, there is no difference in length, but a pelvic obliquity was present during the examination in the standing position, the cause can be attributed to different thigh lengths. Even with this examination, however, it is not possible to reach a conclusion about the pure osseous length of the lower legs if there are foot deformities with or without soft tissue hyperplasia.

In addition to the length of the limb, the circumference should also be considered and, if necessary, measured at the same points (documentation) to monitor progress. This can provide an indication of secondary hypotrophy or immobilization.

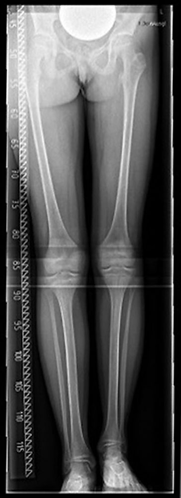
X-ray diagnostics

The above-mentioned physical examination is initially the only diagnostic test necessary to assess a leg length discrepancy.

It is only in order to plan a surgical treatment that an X-ray needs to be taken as a so-called whole-leg axial X-ray. The exact length of the upper and lower leg bones (femur and tibia) can be measured on this X-ray and thus the location of the necessary therapy can be determined. At the same time, the bone age is often determined by comparison to a hand radiograph.

Therapy of limb length discrepancy

At present, causal therapy of malformation-related hyperplasia or hypoplasia is only possible to a limited extent (e.g., with mTOR inhibitors), but the effects can certainly be treated. In individual cases, the growth dynamics of arteriovenous malformations, in particular, can be positively influenced by the therapeutic procedures for vascular malformations described in the opening chapters on the diseases.

Unfortunately, however, it is not possible to predict whether or not treatment of the vessels per se will have an influence on the overgrowth or undergrowth of the affected limb.

Nevertheless, this therapy should be considered initially for all limb length discrepancies. Additionally treating the vascular malformation enables or facilitates the orthopedic surgical procedure.

If the limb length discrepancy continues to increase despite treatment of the vascular malformation, or if causal treatment is not possible, orthopedic or orthotic intervention must be considered.

Indication for therapy

From a leg length discrepancy of 2 cm and more, treatment is usually recommended on the growing skeleton. Interestingly, the relationship between leg length discrepancy and possible consequences such as scoliosis, back pain or increased joint wear (osteoarthritis) has not yet been entirely clarified. Nevertheless, the 2 cm threshold is widely accepted.

The decisive factor for therapy is the dynamics of the discrepancy in leg length. In principle, it can be assumed that limb length differences increase with growth. The expected length difference at the end of growth can be estimated, for example, using the so-called multiplier method according to Paley. For example, a patient with a leg length difference of 2 cm at age 5 can be expected to have a difference of 3.6 cm upon growth completion.

However, this method is prone to error because bone growth behaves irregularly in association with vascular malformations. It is much more meaningful to check the patient annually and measure the difference and the patient’s height. As a result, it is easier to make a prognosis for each patient individually.

Treatments of the vascular malformation performed in the meantime (e.g., interventional sclerotherapy or embolization) can further influence the dynamics.

Orthopedic therapy

In principle, all leg length discrepancies can be compensated for by the use of insoles or shoe elevations.

However, insoles can practically only be used up to a height of about 1 cm; beyond that, they would take up too much space in the shoe.

The limitation to shoe elevations, i.e., elevation of the shoe sole, is mainly cosmetic. Adolescents of pubertal age particularly struggle with stigmatizing orthopedic adjustments of their shoes, so this is a frequent indication for surgical therapy.

Surgical therapy

In principle, a leg length difference of more than 2 cm represents a relative indication for surgery. The pronounced the length difference, the greater the consensus on the need for surgical intervention to positively influence the body biomechanics.

Basically, a distinction must be made between the therapeutic options for hyperplasia and hypoplasia.

Therapy of hyperplasia (long leg)

In the case of leg lengthening, i.e., hyperplasia, the aim is usually to slow down growth. This is done by interventions in the zones where the main length growth of bones takes place, the epiphyseal plates, which may be prevented from further bone length growth in different ways (epiphysiodesis).

A distinction is made between:

  • definitive (permanent) procedures
  • reversible (temporary) procedures

Permanent epiphysiodesis

Definitive procedures lead to a complete stop of bone length growth at the treated growth plate. Various methods are available for this purpose, the most widely used being drilling out the growth plate (Canale technique). In principle, it can be applied to all growth plates.

To some degree it is also possible to calculate the expected future maximum leg length discrepancy until the end of growth (e.g., maximum 5 cm) during the growth period in childhood and adolescence. This would make it possible to determine the ideal time to perform definitive closure of the growth plate (in our example, at the time when the shorter leg would still grow exactly 5 cm, permanent epiphysiodesis could be performed on the longer leg). Unfortunately, this is not always possible in patients with vascular malformations.

Necessary preconditions for such a procedure are namely:

  • A consistent growth dynamic until growth completion and consequently good predictability of the expected leg length discrepancy.
  • A limited extent of the leg length difference, so that the discrepancy can be well treated with conservative orthopedic methods until the time of the definitive surgical therapy.

Unfortunately, these two points do not always apply to patients with vascular malformations, so that a temporary procedure is chosen.

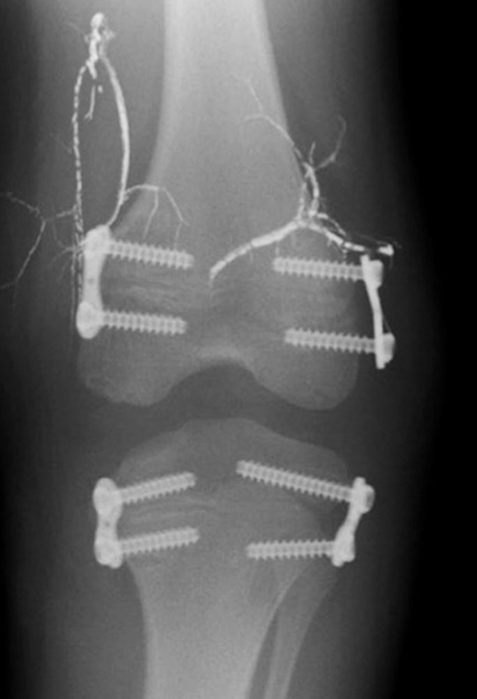
Temporary epiphysiodesis

Temporary epiphysiodesis is achieved by temporary placement of metallic implants (e.g., clamps, plates, or screws) in the area of the growth plates, which can be removed after a certain period of time. Although there are a number of implants for this operation, they all have the same principle, in which the growth plate is firmly bridged (“stapled”) and thus growth is inhibited .

This surgical procedure makes it possible to compensate for a leg length over a defined period and then allow the treated limb to continue to grow by removing the implants. In many cases, however, epiphysiodesis must then be performed again shortly before growth completion to compensate for residual discrepancies.

Therapy of hypoplasia (short leg)

Epiphysiodesis of the opposite side

In the case of hypoplasia, epiphysiodesis can also be performed on the healthy opposite side. It should be noted, however, that this reduces the final height of the patient. In contrast to treatment for hyperplasia, growth retardation by epiphysiodesis in this case shortens an actually normally long, healthy limb.

In addition to the resulting reduction in final height, this also plays a significant role with regard to the aesthetic proportion of torso to legs.

Therefore, there are two limitations to this procedure:

  • The patient is critically opposed to a reduction of their expected final height.
  • More than 5 cm difference in length to be compensated. Beyond this limit, the resulting disproportion of torso to legs is no longer acceptable.

Since hypoplasias tend to be relatively constant in their growth dynamics, permanent epiphysiodesis can usually be performed at the calculated time in these cases.

Lengthening of the affected side

In principle, lengthening the affected shorter side would be more physiological than shortening the opposite healthy side. However, there are often reasons not to do this:

  • Significantly more complex surgical method
  • High risk of bleeding due to the vascular malformation and the necessary osteotomy
  • High risk of thrombosis in the case of a venous malformation
  • Pain in the affected leg often increases during the extraction phase
  • Pre-existing chronic pain
  • Pre-existing contractures or joint problems

If, despite the limitations mentioned above, the indication for limb lengthening can be established, an intramedullary implant is nowadays preferable to an external fixator, whenever possible.