Thrombosis • Phlebothrombosis

  • Chapter: Thrombosis and thrombophlebitis

    Article: 3 of 4

    Update: Mar 24, 2021

  • Author(s): Wohlgemuth, Walter A.

The basis of phlebothrombosis, also called thrombosis for short, is the formation of a thrombus (clot) within a normal or dysplastic vein. Here, in contrast to thrombophlebitis, the thrombus is potentially not confined to one location, but is more extensive and, above all, has the potential to completely block venous drainage locally (complication: venous congestion, venous high pressure) or to be washed away centrally via the draining venous system. This may result in thromboembolism with possible severe complications such as pulmonary embolism.

Determining factors when assessing the danger or possible complications of a phlebothrombosis are the localization and the extent of the thrombosis (the larger and the more centrally localized, the more critical) as well as the diameter of the connecting veins or communicating veins (large connections = higher embolism risk) with the venous outflow. Only via large-lumen connections from a venous malformation is it possible for larger blood clots to be washed away, which may lead to a relevant pulmonary embolism.

Phlebothromboses are usually dissolved via (painful) inflammatory processes by the body's own fibrinolysis. The affected veins can often recanalize completely. However, larger phlebothromboses often leave behind chronic damage to the vein wall, which can promote renewed thrombosis. Important venous valves may also be destroyed during thrombus dissolution. Particularly in the lower extremities, the hydrostatic venous pressure in the presence of valve insufficiency can lead to chronic venous hypertension with chronic venous insufficiency as a late consequence.

Origin

All factors that favor blood clotting and thrombus formation within a vein predispose to phlebothrombosis. These may be local factors, such as pathological changes in the vein wall that activate coagulation at the pathological vein wall. Or they can be systemic, such as a generally increased coagulability of the blood.

Typical systemic factors that activate blood clotting and promote thrombus formation are:

  • Dehydration, thirst, exsiccosis.
  • Congenital or acquired blood coagulation disorders (antiphospholipid syndrome, protein S deficiency, APC resistance, factor V mutation)
  • Hormones, pregnancy, oral contraception (“the pill”)
  • Physical inactivity, immobility, being bedridden
  • Infections and inflammation
  • Wounds, injuries, operations, interventions
  • Nicotine abuse, diabetes mellitus, cancers
  • With increasing age, the risk of thrombosis increases

Typical local factors favoring thrombosis formation are:

  • Pathological changes in the vein walls, e.g., inflammation, condition after phlebothrombosis, dysplasia of the vein wall such as in venous malformations
  • Local slowing of blood flow, e.g., due to dilatation, turbulence or compression of veins
  • Venous aneurysm formation (frequently popliteal vein, subclavian vein)
  • Venous malformations with large communicating veins (draining connections)
  • Venous malformations of large truncal veins, e.g., marginal veins, sciatic vein, embryonic veins
  • High venous stasis pressure, e.g., in the case of being overweight, venous outflow obstructions

In parallel with the development of thrombosis, processes of fibrinolysis always take place at the same time in the body, leading to homeostasis. The body tries to break down the thrombus again by activating the body's own fibrinolytic system. Thus, there is a constant balance between clot formation and clot degradation. During the onset of fibrinolysis, inflammatory mediators are released, including leukotrienes, interleukins and complement factors. These lead to local symptoms (inflammatory reaction) when released in substantial concentrations.

Degradation of the occluding thrombus often begins at the vessel wall with marginal and partial recanalization. This process is easily visualized sonographically. However, complete restoration of a healthy vein is not always successful, even with early, appropriate therapy. Venous valve damage often ensues, causing reflux into the recanalized vein, which results in venous hypertension at distal body segments. Early, appropriate therapy is required to avoid the late consequences, especially of chronic venous hypertension.

Patients with a combination of overgrowth syndromes and vascular malformations, especially CLOVES, Klippel-Trénaunay syndrome and Proteus syndrome, have a particularly high risk of thromboembolic events over their lifetime.

Clinical picture

Very fresh thromboses may be completely asymptomatic. However, reflecting the natural course of phlebothrombosis, there is often local tenderness on palpation, which is due to the inflammatory degradation of the thrombus. This local pain may be accompanied by a feeling of pressure and tension distal to the venous occlusion, which is caused by the increased venous stasis pressure due to the venous outflow obstruction. This is most noticeable in the ankle, calf, or popliteal area if it affects the lower extremity. This increased outflow pressure often also results in local swelling and tissue edema, which is particularly noticeable in the lower extremities due to the high hydrostatic pressure. Depending on the location of the thrombosis, the ankle, calf, or an entire leg may be slightly swollen. The pain in the calf is often described as tenderness and cramping.

In the case of an extensive 4-level vein thrombosis including the pelvic outflow, the massively swollen and very painful extremity may turn blue (“phlegmasia cerulea dolens”). As venous outflow is completely blocked, there may be a local stop in the blood circulation, with the consequence of complete ischemia. Fortunately, this critical emergency is very rare.

If the venous outflow is permanently occluded or only partially recanalized, the venous pressure remains permanently high because of the outflow obstruction. When a person stands or sits for long periods of time, the failure of the muscle pump causes an unpleasant, often painful feeling of tension and pressure in the foot and calf. This increases during the course of the day, so that “the legs are heavy” by the evening.

Chronic persistent venous hypertension often leads to congestive dermatitis. This causes hardening of the skin, loss of elasticity and may be accompanied by itching. In advanced cases, because of the high venous pressure, small amounts of erythrocytes are chronically squeezed out of the veins, their degradation products accumulate in the subcutaneous tissue and cause a brownish skin discoloration (“purpura jaune d’ocre”). In the late stages, this can lead to post-thrombotic syndrome with chronic swelling and ulceration.

Diagnosis

Testing the D-dimer blood level to detect thrombosis is especially useful when thrombosis is clinically less likely or not really suspected. If the D-dimers are then positive, one must continue to search. If they are negative, thrombosis is practically ruled out. If thrombosis is clinically probable, the D-dimer test is less helpful, since one must always continue to search in this case (regardless of the D-dimer test). D-dimers are fibrin degradation products formed during the dissolution of a thrombus. If this test is negative, thrombosis can be excluded with high probability.

However, the low specificity in the case of a positive, elevated D-dimer value in the laboratory test does not mean that a thrombosis can be diagnosed. There are many other diseases that result in elevated D-dimers. In addition, D-dimer levels are elevated anyway throughout life in patients with large venous malformations because of the constant localized intravascular coagulation that occurs within the malformation.

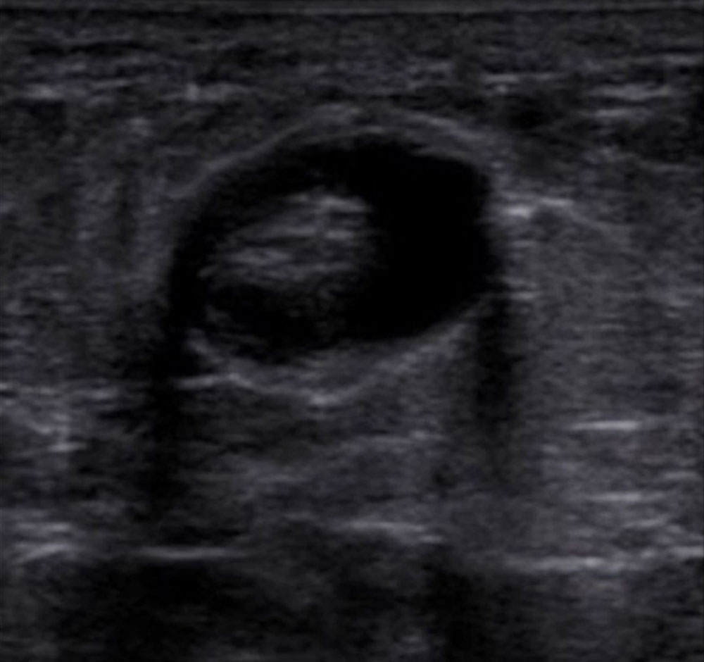
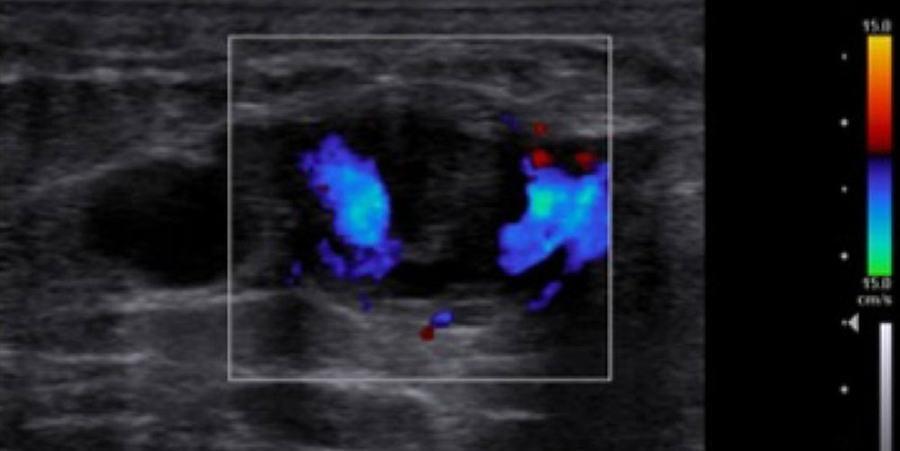
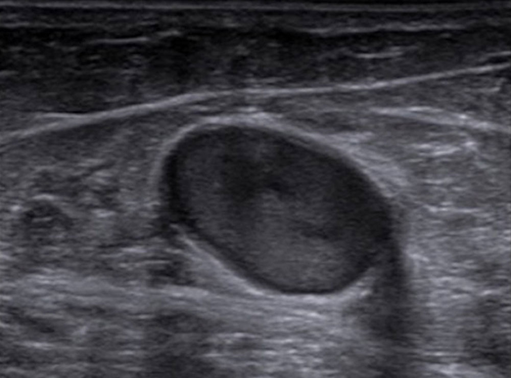
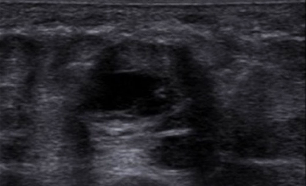
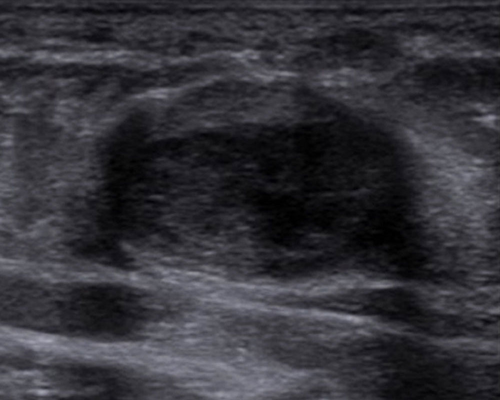
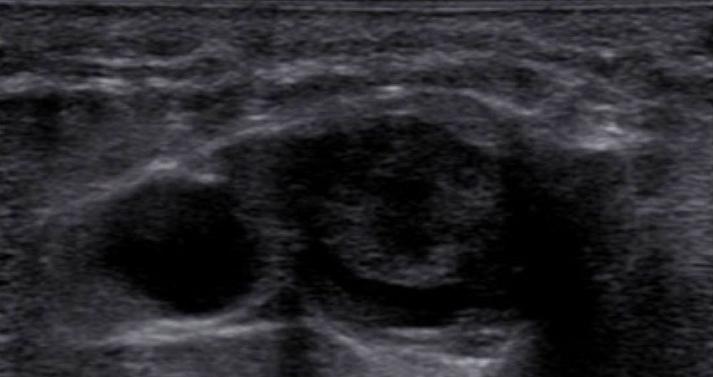
The most important imaging to detect or exclude phlebothrombosis is sonography. The affected vein section shows the thrombus contained in the vessel lumen, which cannot be compressed by compressing the vein with the transducer. Depending on age, this vascular thrombus tends to have a relatively low echogenicity initially in acute cases. The vein diameter is significantly increased by the intraluminal thrombus in the acute phase. In color-coded duplex sonography (CCDS), no color signal is found in the vein owing to the lack of blood flow, even at very low PRF settings (low pulse repetition frequency PRF = high detection sensitivity for flowing blood). With increasing thrombus age, the thrombus shrinks in size and becomes increasingly echogenic. In the further course, at least partial recanalization of the thrombosed vein occurs in favorable cases. Often beginning at the vein wall, blood (echo-free on ultrasound) again flows through the vessel surrounding the thrombus.

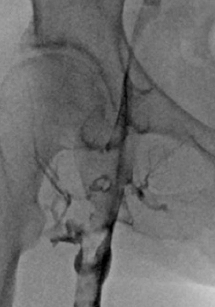
Phlebography has been almost entirely replaced by ultrasound, CT or MR phlebography for the diagnosis of phlebothrombosis and is no longer indicated. Phlebography nowadays is mostly performed as varicography in the direct puncture technique in the context of interventional procedures. In this situation the thrombus is visualized as an intraluminal contrast medium filling defect in the vein.

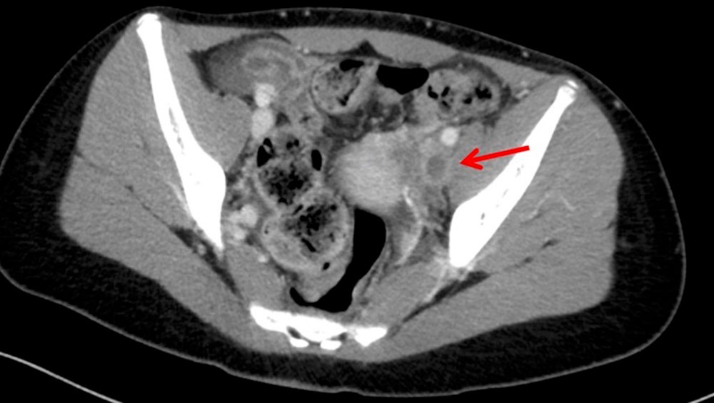
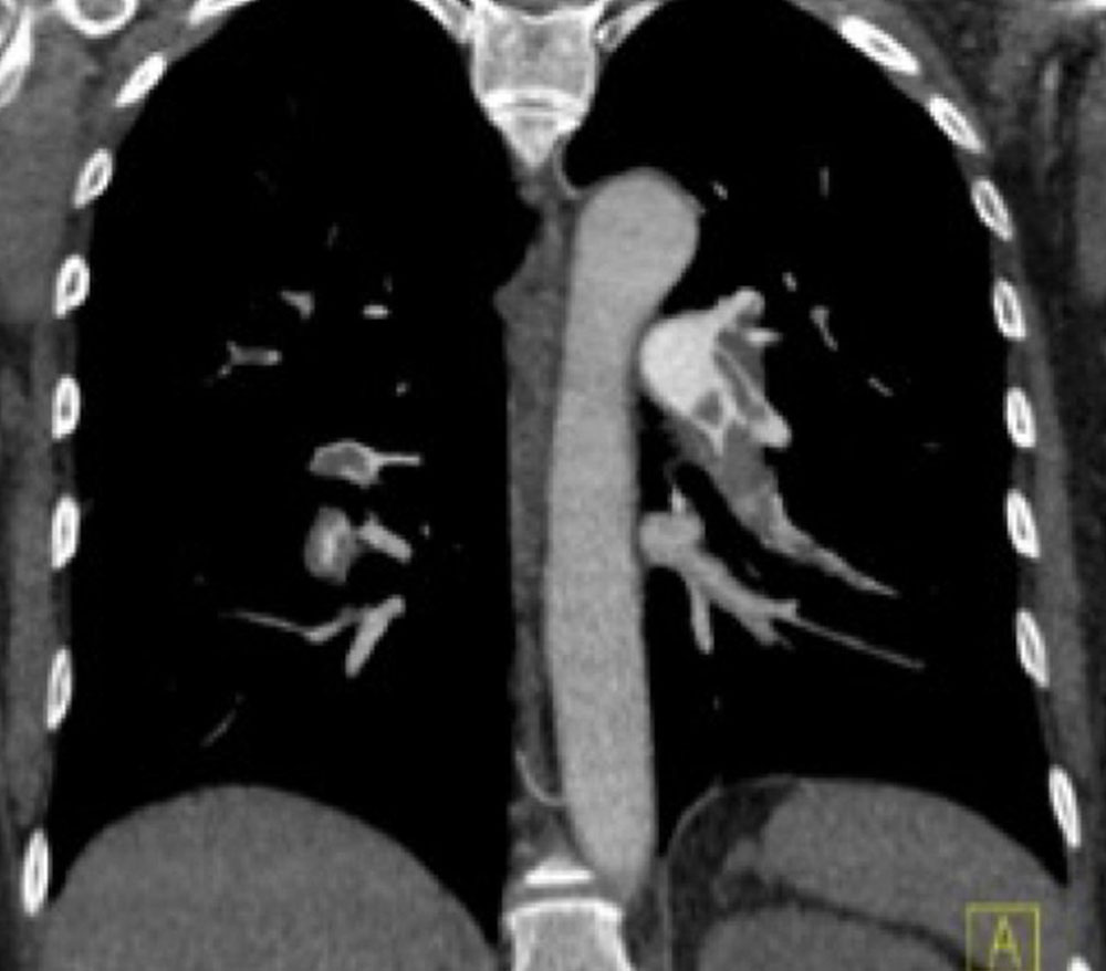
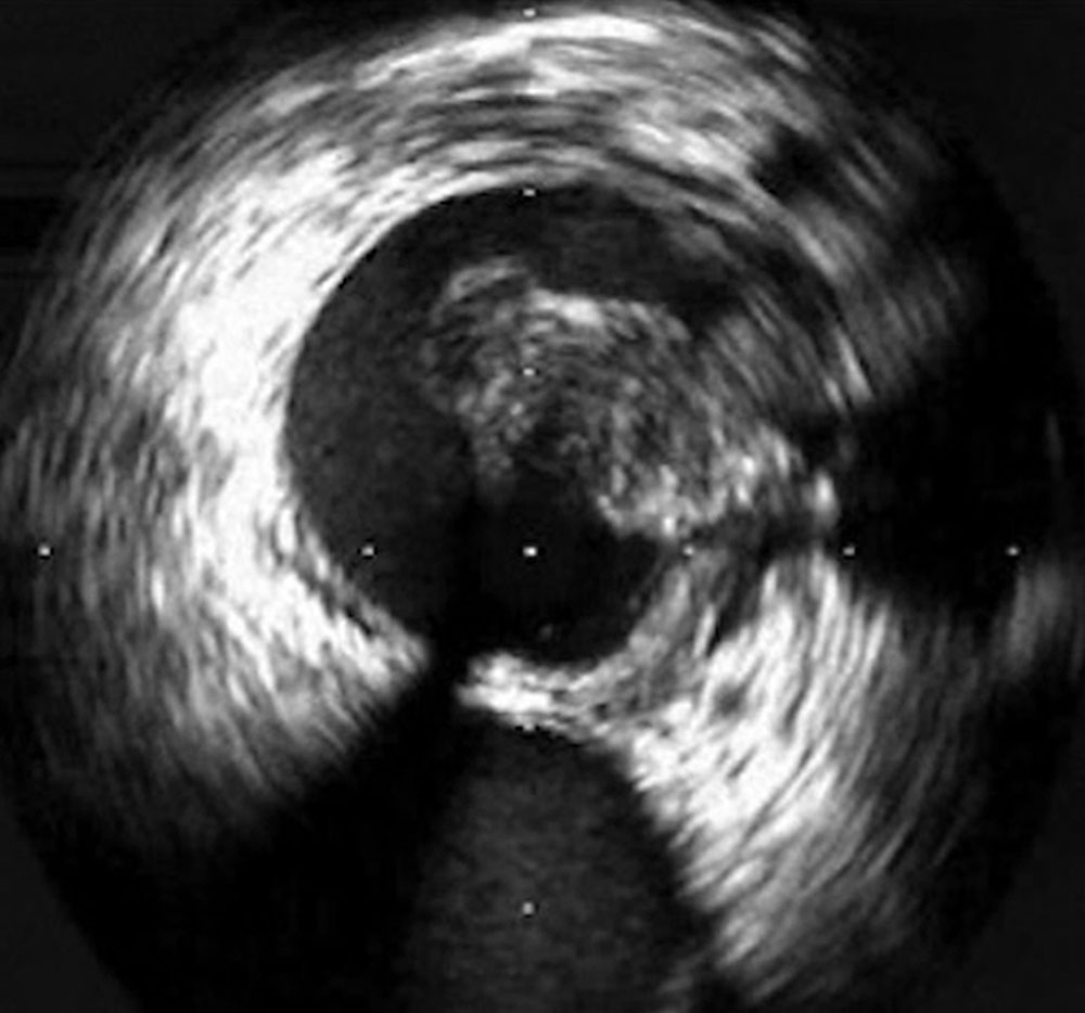
In the case of thrombosis of the central iliac veins, it may be difficult to detect thrombosis by transabdominal sonography because of overlaying structures such as bowel. Phlebography may also produce a false negative in this case. Cross-sectional computed tomography or magnetic resonance imaging may be helpful in such cases if a therapeutic consequence can be derived from it. A good alternative, especially in the area of the proximal common iliac veins, e.g., in May-Thurner syndrome, is intravascular ultrasound, which involves inserting a catheter with an integrated ultrasound probe directly into the vein.

Complications

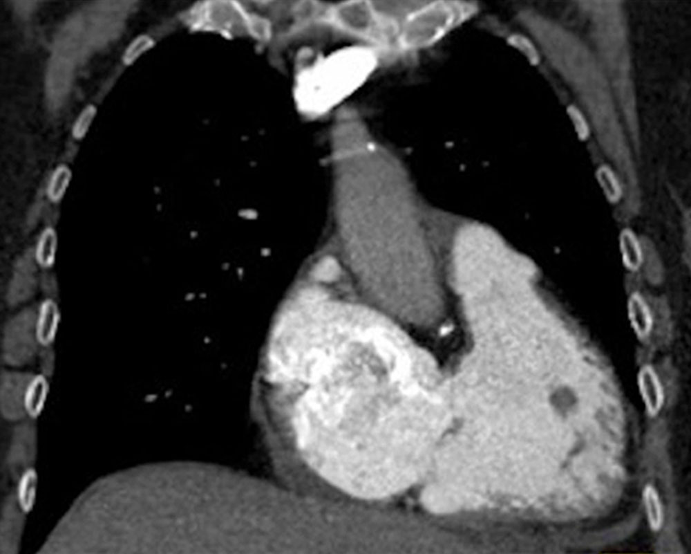
The most important, because most dangerous, complication of phlebothrombosis is the dislodgement of the thrombus via the draining veins (thromboembolism) to the central circulation. This may then lead to mechanical blockage of central vessels by the thrombus with localized thrombosis. Even more centrally after passage through the vena cava and the right heart, this blockage then affects the pulmonary arterial pathway, which is partially or completely occluded by thrombus, resulting in pulmonary embolism.

Pulmonary embolism can be sudden and prominent with massive clinical symptoms, including circulatory arrest and right heart failure due to the high flow resistance. However, pulmonary embolism is often not diagnosed immediately due to unspecific or mild symptoms. In addition, it may be completely asymptomatic in the case of smaller pulmonary emboli.

In patients with larger venous malformations who have recurrent smaller thromboembolism into the pulmonary circulation over a long period, the pulmonary arteries often become slowly and progressively occluded over a period of years with increasing flow resistance and high pulmonary arterial pressure. Chronic thromboembolic pulmonary arterial hypertension (CTPAH) may develop as a result. This complication must be avoided by adequate therapy.

Via a similar mechanism, thromboembolism in venous malformation of the intestine can also lead to central dislodgement of a thrombus, in this case into the portal vein system of the liver with subsequent portal vein thrombosis.

On the other hand, the complication of chronic venous hypertension or chronic venous insufficiency with swelling, stasis dermatitis, and ulceration is much less common in patients with vascular anomalies. Thrombotic occlusion of a deep, draining vein in venous malformation patients is probably recognized more frequently and treated earlier as they are aware of the symptoms and are under surveillance. In some cases the venous malformation itself compensates for an occlusion by venous collateral vessels as part of the malformation.

Therapy

Basically, a distinction must be made between conservative and invasive therapy.

Conservative measures initially include elevation, cooling and decongestant, anti-inflammatory ointments. Pain therapy can be given (usually with non-steroidal anti-inflammatory drugs). The most important measure is adequate, concomitant compression therapy for at least 3 to 6 months. In contrast to the past, early mobilization is now introduced from the first day, unless excessively severe pain argues against it. Early, consistent exercise helps to recanalize the occluded veins.

Drug therapy with anticoagulation is given to every patient with proven phlebothrombosis (but not with thrombophlebitis). In the acute phase, this takes place over at least 5 days, usually 7−10 (21) days with a low-molecular-weight heparin or fondaparinux or a direct oral anticoagulant (DOAC e.g., rivaroxaban for 21 days or 2 x apixaban for 7 days). Depending on the risk of recurrence and degree of risk (risk of complications versus risk of bleeding), this is followed by maintenance therapy for 3−6 months. This is either with a DOAC or a vitamin K antagonist (target INR 2−3). Longer-term maintenance therapy will be considered especially in cases of persistent risk factors, recurrent thrombosis, or thrombosis without a clearly identifiable trigger. Lifelong anticoagulation will be necessary in a few cases if the cause of thrombosis cannot be eliminated.

Invasive measures today often include minimally invasive, catheter-guided mechanical or pharmacomechanical procedures. In these procedures, the acute thrombus is dissolved by mechanical or pharmacomechanical catheter therapy in a minimally invasive manner. Chronic occlusion, especially in the iliofemoral location descending from an iliac vein, can also be reopened minimally invasively, and stents are usually implanted. Open surgical therapy of acute thrombosis is very rarely indicated today, primarily in cases of iliofemoral thrombosis with occlusion of the pelvic venous circulation, and may be combined with creation of an arteriovenous fistula in the groin to keep the reopened vein open. However, appropriate measures should always be performed at a center.

Specific therapeutic measures for phlebothrombosis in patients with venous malformations (VM) should be performed if the vascular malformation is the cause of the thrombosis. This is usually the case in large venous malformations that have one or more communicating veins from the VM into the draining venous system (also called “drainage vein”), and in VM patients with large, dysplastic, dilated veins that communicate with the conducting deep venous system (e.g., marginal veins in patients with Klippel-Trénaunay syndrome) or an embryonically persistent sciatic vein in the thigh. In these cases, occlusion of these communicating veins by minimally invasive or open surgical measures should be performed as causal therapy to avoid thromboembolism with pulmonary embolism in the long run.

Prophylaxis

Appropriate compression therapy is considered one of the most important measures in phlebothrombosis prophylaxis. Compression reduces the cavities of the venous malformation, fewer thrombi can form, and thus thrombophlebitis and phlebothrombosis are less likely to occur.

In addition, all circumstances that increase the blood clotting ability should be avoided. Regular exercise, especially during long journeys, is necessary. Prolonged standing and sitting without movement should be avoided.

Targeted occlusion of large, dysplastic veins or communicating veins from a venous malformation can prevent recurrence of thrombosis causally.

Prophylactic anticoagulation should be considered in cases of communicating veins that cannot be completely occluded and conditions after phlebothrombosis with pulmonary embolism, since a persistent risk factor remains in these cases.

Long-term anticoagulation should also be reviewed in the following additional circumstances:

  • Recurrent thrombosis
  • Unclear genesis of thrombosis (no trigger found)
  • Bleeding risk (if increased, discontinue earlier)
  • Residual thrombus
  • Gender: man more likely to continue, woman more likely to discontinue
  • Proximal and long-distance thrombus localization
  • Severe thrombophilia (especially antiphospholipid syndrome)
  • Patient preference

The increased risk of phlebothrombosis in pregnant patients with venous malformations plays a special role. In this situation, attendance at an experienced center is advised. This also applies to family planning; if necessary, therapy of VM in advance of a planned pregnancy may be advisable.