Imaging — Arteriovenous malformation

  • Chapter: Arteriovenous malformations

    Article: 5 of 13

    Update: June 02, 2021

  • Author(s): Uller, Wibke

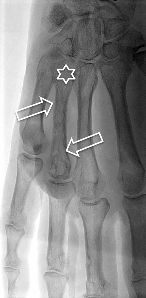
The imaging appearance is characterized by a large number of dilated inflow and outflow vessels, which extend into the surrounding tissue layers, usually without respecting classic anatomical borders. Imaging does not show an actual solid, circumscribed tissue lesion in the sense of a space-occupying mass, as often seen in vascular tumors. Rather, the absence of a defined solid mass is an imaging characteristic of an arteriovenous malformation (AVM). The nidus, as a net-like tangle of multiple small arteries and veins, presents as a localized proliferation of multiple, smaller vessels (“bag of worms”). Displacement of soft tissue that is characteristic of solid tumors is normally absent.

By means of duplex sonography, the fast-flow character of the lesion can quickly and easily be detected and thus a differentiation from slow-flow malformations can be made.

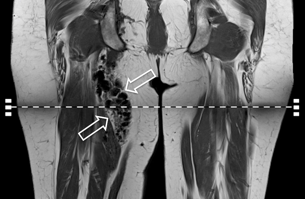
In addition, cross-sectional imaging using computed tomography (CT) or magnetic resonance imaging (MRI) is required to confirm the diagnosis, localization and involvement of organs. CT with contrast agent administration plays a lesser role in this context: it can easily detect bony involvement of the arteriovenous malformation, but spread to soft tissues is better visualized by MRI. The hemodynamics of the lesion can also be visualized by dynamic, contrast-enhanced MR angiography. In MRI, so-called flow voids are present in sequences without contrast medium because of the rapid blood flow. The dilated arteries supplying the nidus ("feeder arteries") usually follow a tortuous course. Depending on the angioarchitecture, single dominant dilated veins or several more net-like dilated veins can be delineated as the outflow of the lesion. The surrounding tissue may show edematous or fibrous-fatty changes. Involved bony structures may exhibit lytic changes or hyperplasia.

In most cases, catheter angiography is only performed as part of a minimally invasive treatment. The arteries supplying the nidus are often twisted, dilated and sometimes aneurysmally dilated. As a result of the arteriovenous shunt connections, there is immediate, early contrast filling of the dilated veins.

Peripheral arteriovenous malformations can be classified according to their angiographic anatomy, particularly their venous outflow.

Unlike venous malformations, there is characteristically no extensive contrast agent accumulation or contrast agent stasis in the form of "pooling". A so-called “blush” in the sense of a very fine fistulous nidus may appear at a very early stage of an arteriovenous malformation, for example in children, and this appears similar to a vascular tumor without a space-occupying mass.