Imaging — HHT · Osler’s disease

  • Chapter: HHT · Osler’s disease

    Article: 6 of 13

    Update: May 06, 2021

  • Author(s): Kühnel, Thomas

Imaging in hereditary hemorrhagic telangiectasia (HHT) is mainly aimed at the visualization of (AV) shunts in lung, liver and CNS. Angiography of the nasal region plays a rather insignificant role, since there are hardly any therapeutic consequences, except for special cases.

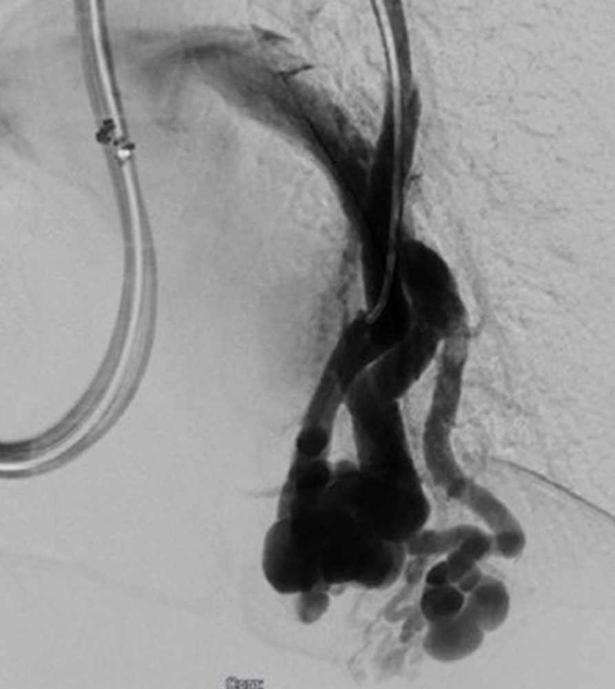
Pulmonary lesions are amenable to a number of diagnostic procedures. For example, transthoracic sonography with agitated intravenous contrast medium to rule out pulmonary AVM (by exclusion of cardiac right-left shunts) has become a guideline-based procedure that is used ahead of radiologic procedures. Computed tomography or catheter angiography is indicated for accurate determination primarily of the draining vascular diameter of a pulmonary AVM.

Shunts of the liver (arteriovenous, arterioportal, portosystemic) are routinely investigated by ultrasonography and, if necessary, Doppler sonography. CT, MRI, and catheter angiography complement the diagnostic workup when the suspicion of clinically relevant shunts is confirmed and the diagnosis needs to be more precise.

Cerebral magnetic resonance imaging to exclude intracranial arteriovenous malformations (AVM) is recommended according to guidelines. If angiography has to be added to the diagnostics, the patient must be informed that neither catheter angiographic tic investigation nor interventional therapy are risk-free methods (event probability up to 6.5%) and, on the other hand, the probability of cerebral hemorrhage is small (about 0.5% per year), depending on the type and size of malformation. Spinal AVMs are very rare. Subarachnoid hemorrhages lead to headache and neurological deficits (paresis, paraplegia, or apoplexy). They are detected with the appropriate MRI modalities of the spine.

If there is identifiable bleeding from the gastrointestinal tract or blood loss cannot be explained by the extent of epistaxis, endoscopy is recommended. If lesions are found in the stomach and duodenum, additional spots in the deeper bowel segments should be assumed. Most shunts are found in the proximal sections of the gastrointestinal tract. They are identified with single or double-balloon enteroscopy, diagnosed further distally with colonoscopy, and treated (argon plasma coagulation). Video capsule endoscopy may be used if there is a gap in the middle ileum.

Radiologic procedures are not the main focus.